Couldn't find what you looking for?

TRY OUR SEARCH!

I would like to find out some solution in understanding the etiology of primary IgA nephropathy. Does anyone could explain something about this? I am waiting for basic information on this theme. Thanks for your opinion and your time.

Loading...

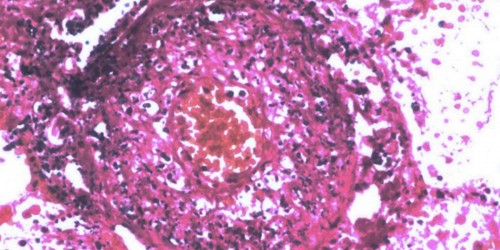
Hi! I guess you've already read it but here's what the only thing I found about it. Since Berger's original paper on mesangial IgA-IgG deposition with hematuria, there have been a number of clinical and pathological studies regarding IgA immune complexes, the mechanisms of glomerular IgA deposition leading to glomerular injury and animal models of IgA nephropathy. During the last quarter of this century, glomerular changes such as IgA nephropathy have also been observed in cases associated with other diseases, such as systemic lupus erythematosus, Schoenlein-Henoch purpura, liver cirrhosis and chronic inflammatory diseases of the lung. This evidence supports the idea of an IgA nephropathy syndrome. On the other hand, IgA is thought to be an important humoral factor at the mucosal immune system and appears to have an antibody function against various etiologic candidates of extrinsic or intrinsic substances at the mucosal and systemic immune system. Glomerular IgA deposition in IgA nephropathy syndrome is thought to result from elevated levels of circulating immune complexes or aggregated IgA due to an overproduction of polymeric IgA as antibodies in the serum and due to the clearance impairment of IgA immune complexes in the hepatic and splenic phagocytic system. The glomerular IgA subclass is not one-sided, but should be evaluated in comparison with the age of patients at renal biopsy; this indicates the approximate age of onset. Cirrhotic IgA glomerulonephritis is not related to Hepatitis B or C virus infection, but to the pathophysiologic condition of liver cirrhosis. Various etiologic candidates such as viral, microbial, dietary antigens or auto-antigens have been listed and experimental models of IgA nephropathy syndrome have provided some clues in understanding the etiology of primary IgA nephropathy. However much still remains to be clarified and some specific epitopes common among these etiologic candidates will have to be identified. I hope this will help you.
Reply

Loading...