Scores
With the advent of mobile technologies, mobile apps became indispensable in the practice and delivery of medical care, including dermatology.
Currently, there are around 300 dermatological apps out there. Most of these apps are intended for patients, who can use them for monitoring chronic dermatological diseases, such as psoriasis, managing and treating acne, self-examining of suspicious moles that could turn into melanoma, getting sun screen advice or dermatology education, and more.
The rest of these apps are intended for healthcare providers, namely dermatologists and dermatopathologists, who can use these apps in their daily practice to improve patient care. Most of these apps serve as diagnostic and educational tools.
The American Academy of Dermatology (AAD) offers a wide range of mobile apps for Android and iOS devices designed to help both dermatologists and their patients.
Their app MyDermPath+ is a comprehensive dermatopathology resource that features 'interactive algorithms for generating differential diagnoses using a clinicopathologic approach.'
Upon downloading and installing the app, it opened to a splash screen with the AAD logo. However, the splash screen lasted for more than 15 seconds.
This problem with the delay was addressed before, causing a lot of negative criticism and reviews. Obviously, the developers learned nothing from that, so some not so patient users would simply exit the app and uninstall it for their phone.
But, I guess I'm a bit more patient with the technology. Before giving up on the app so quickly, I decided to restart it. This time I was presented with the disclaimer I had to accept in order to proceed further. After I hit Acknowledge button, the app opened to the main menu. Sometimes patience pays off.
MyDermPath+ app is nicely designed with a blue/white/green color scheme consistent with the AAD's website and their other apps.
The main menu features several sections, including About, Navigation Information, Algorithm, Special Studies, and more.
In these sections, users can get more information about the app and the team that created it, the app structure and how to use it, start the standard histology algorithm, search for a specific diagnosis, start the algorithm for special studies, view a glossary of terms, view normal skin histology, or take a quiz.
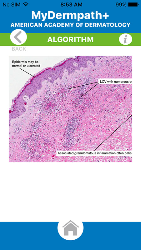
The most important feature and the core of this app is the Algorithm section, which enables users to identify specific dermatopathology conditions by selecting various histologic characteristics.
The algorithm first asks the question about the location of the major changes in the biopsy, such as epidermis, dermis, subcutaneous, etc. Depending on the location, users would be asked to indicate more specific histological characteristics through a series of algorithmic questions that would help them narrow the diagnosis. Users can also navigate through algorithms by tapping on Breadcrumbs button.
Once the algorithm is completed, a page for a specific condition would open including a text-based histological and clinical descriptions with photos for both, along with management recommendations and trivia.
The photos of the condition can be enlarged and shown with annotations. However, the photos are not optimized for a view on smaller screens, and they do not sharpen when enlarged.
There is also a Pathpresenter integrated with the app that allows users to access high-quality images online. However, this part didn't work at the time of review.
On the condition pages, users can add notes, view reference which links to PubMed article, and view About, which doesn't provide more info about the condition but opens the About section of the app.
MyDermPath+ app also includes a separate algorithm for special studies, including special stains, immunofluorescence, and immunohistochemistry.
Special Stains section contains histological images for more than 20 different stains, ranging from Leishmania to connective tissue.
Immunofluorescence information is presented by a diagnosis or an algorithm for nearly 20 conditions, including bullous pemphigoid, dermatomyositis, dermatitis herpetoformis, leukocytoclastic vasculitis., and more.
The immunohistochemistry section provides histological images of different markers for various lesions, including epithelial, lymphoid, melanocytic, and more.
Glossary of Terms section features an alphabetical list of terms provided in a similar format as conditions, except for text-based definitions and photos, which are provided only for histology.
Normal Skin Histology section basically contains one video presenting and explaining normal skin histology. You cannot rotate the phone to play it horizontally, so it may be difficult to view the video on smaller screens.
Finally, there is a multiple-choice quiz with roughly 2000 questions including a histology image and 4 answers choices. After selecting the answer, users are informed if it is correct or incorrect, without additional explanation about the histology presented on the images.
Overall, MyDermPath+ app is a very useful mobile resource for dermatologists and dermatopathologists, as well as residents and medical students interested in learning about dermatopathology.
With a few improvements, I'm positive that MyDermPath+ could become an essential reference and DDx app for dermatologists and dermatopathologists.
Benefit: Dermatologists, dermatopathologists, residents, and students would benefit tremendously from this app
Verdict:
For- Easy to use and navigate
- Interactive algorithms enable users to identify specific dermatopathology and generate differential diagnosis
- Users can view special stains, immunofluorescence, and immunohistochemistry for various dermatologic conditions
- Text-based histological and clinical descriptions with detailed photos included for each condition
- Multiple-choice quiz with around 2000 questions for users to test their knowledge
- Splash screen takes too long to load
- Pathpresenter link not working
- Additional explanation is not provided in quiz



















Your thoughts on this
Loading...