Scores
The ability to view radiology imaging at the point of care is a necessity for all physicians that became possible thanks to the mobile technologies.
Most Picture Archiving and Communication Systems (PACS) in hospitals allow viewing patients' imaging studies on any hospital computer, as well as on home PCs.
The ability to view the same images from your smartphone would be even more convenient for many physicians helping them make quicker diagnoses.
There are several mobile apps that make this possible, such as OsiriX, ResolutionMD and other apps we mentioned in our recent article about best medical apps for diagnostic imaging and radiology.
Although these apps bring useful features at our fingertips, they still deal with certain issues, particularly regarding availability (most of these are available only on iOS platform or on particular devices), storing the vast amount of data locally, the processing power required for 2D and 3D transformations.
While these issues shouldn't be a problem on new mobile devices that usually have powerful processors and more than enough storage space, many physicians still use older models of phones and tablet computers may find using radiology imaging apps challenging.
Another app we listed in the article above and that we've chosen review today, apparently doesn't have that issues. Mobile MIM app works well and looks good even on smaller screens.
This app is a diagnostic image tool that enables physicians, radiologists, radiotherapists and other healthcare providers to see the radiology images on their mobile devices while they're away from their workstation, in order to provide timely diagnosis and treatment plans. It was one of the very first medical apps in Apple's App Store when it first launched back in 2008.
It should be noted that The US Food and Drug Administration (FDA) has assessed the validity of Mobile MIM app and after a long three-year evaluation process they officially granted the app a 510(k) clearance, meaning that Mobile MIMapp can be used for CT, MRI, PET, SPECT, X-ray and Ultrasound imaging.
Upon downloading and installing the app, it would offer you to register an account or to view the demo, which is non-diagnostic. Registering an account is the better option if you want to use the full potential of the app, however, it is done outside the app and requires verification.
In the next step, Mobile MIM app suggested checking safety guide with recommendations on how to correctly and safely view the diagnostic imaging using the app.
Here you can view recommendations on the ambient light that should be as similar to radiology reading room environment as possible, screen brightness that should be set to maximum, careful use of zoom and pan, contrast adjustments, viewing angle, and so on.
Each guide will have a red icon with an exclamation mark until you tap on Reviewed to mark it read and acknowledged.
This part of the app also contains the Welcome section that explains how you access images on MIM servers, download them, add other data sources, and so on. Here you can also view the history of Mobile MIM, as well as medical images.
Another useful section is User Guide providing tips and recommendations on how to use the app, manipulate the images, set the best viewing conditions, use the calibration tool to adjust the grayscale lookup to improve contrast response and protect sensitive patient information.
The main part of the app is certainly your profile tab from which you can search MIMcloud for images, view the images you downloaded to the app, use the Breeze image sharing via Wi-Fi or Bluetooth, or view sample patients, which is useful for users who didn't register or don’t have the MIMcloud account, or who just want to see how the app works.
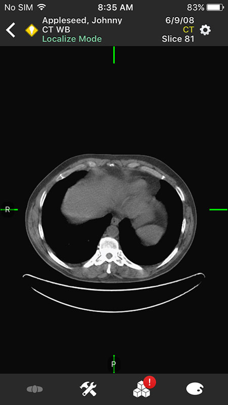
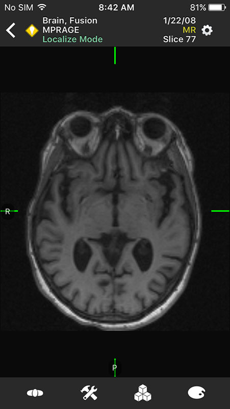
For the purpose of this review, I've used the sample patients images, listed with the name of the patient or procedure with brief two-three word description and date.
Tapping on the patient case initiates the image download, which may vary in size, from 2MB to 76.5MB. After the download is finished, the image would open automatically, or an initial image would open but the series would keep downloading.
You can access all downloaded images in Downloaded section, where you can also delete those you want to use anymore to free the space.
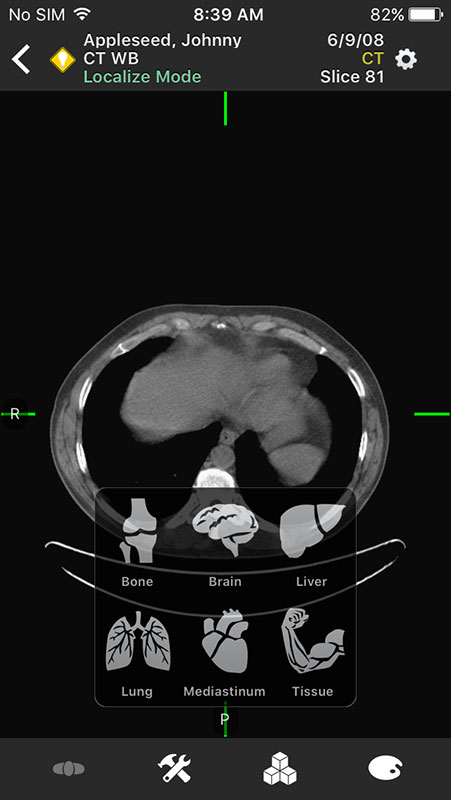
Images open in multi-planar view (by default on iPad or by turning iPhone sideways) unless the feature is disabled. Controls located below the image allow for choosing series (depending on the type of imaging technique), changing between window presents (bone, brain, liver, lung, etc.) or additional viewing features.
Tapping on the bar above the image (with a patient's name on it) will expand an overlay providing image details, such as acquisition type, technique, etc.
Navigation in the image is simple but can be somewhat confusing if you skipped the guide that explains how to manipulate images.
Quickly swiping (flicking) right or left enables you to switch between series, planes, and images, while swiping up and down switches between planes, or images in the series (with 2D images).
To adjust the contrast of the image, you can swipe across the screen at regular speed, where right/left changes the level, and up/down changes window.
You can also scroll through slices by using the scroll area on the right edge of the screen. Zooming is done by pinching the screen or a double tap and panning by sliding with one finger. However, panning too quickly can trigger a swipe gesture.
Navigation may seem somewhat confusing, but once you figure all the gestures, it's not that bad.
What makes Mobile MIM app different from other similar apps apart is MIMcloud - an integrated, cloud-based DICOM service that makes the download, storage, and sharing of images simple.
Overall, MobileMIM app is a great tool to view, store and share diagnostic imaging in radiology particularly thanks to the MIMcloud and fluid navigation throughout the study sets.
Benefit: Physicians, radiologists, radiotherapists, as well as residents and medical students getting into radiology would find this app useful
Verdict:
For- Easy to use
- Provides multi-planar view
- MIMcloud makes download, storage, and sharing of images simple
- Navigation gestures may overlap and navigation may seem confusing


















Your thoughts on this
Loading...