Scores
The use of the ultrasound in emergency medicine (EM), namely the point-of-care ultrasonography (POCUS), has grown rapidly over the last several years. It became useful imaging technique for the emergency medicine physicians.
They use ultrasound in the Emergency Room for a multitude of reasons, ranging from echocardiography during cardiac arrest, thoracic ultrasonography, to evaluation for deep vein thrombosis, and ultrasonography in trauma. It is essential for physicians to understand how to utilize ultrasound machines at the point of care.
Providers use many tools for learning ultrasound. Mobile apps are probably the best choice due to their portability and ability to easily display pictures and videos at the point of care, which is critical for ultrasound learning.
There are many ultrasound apps in both Android and iPhone stores and depending on their purpose and physician's needs, they could be successfully utilized in the Emergency Room setting.
Some of these apps help physicians read and understand values and ranges in point-of-care ultrasonography, while other apps have an educational purpose and provide instructions on how to conduct focused ultrasound in an emergency setting. There's also a lot of apps that support portable ultrasound devices that can be connected to smartphones.
Pocket Emergency Ultrasound app we review today is one of the point-of-care tools that assists providers with readings and values. It is a rapid pocket reference offering quick access to a comprehensive database of normal values and ranges for all ultrasound measurements relevant to point-of-care ultrasound.
This makes the app somewhat limited because it only provides normal anatomy and values, lacking any abnormalities and pathologies that could also be useful in ultrasound learning, especially for medical students and junior doctors.
Pocket Emergency Ultrasound app is intended for use in Emergency Medicine, the Intensive Care Unit, and other acute care settings.
Upon opening the app, you'd notice a simple and clean user interface. The main screen features the different anatomical categories, with topics ranging from core applications to more advanced techniques.
There are 6 anatomical categories, including Abdomen, Cardiac, Genitourinary, musculoskeletal, Obstetrics/Gynecology and Vascular.
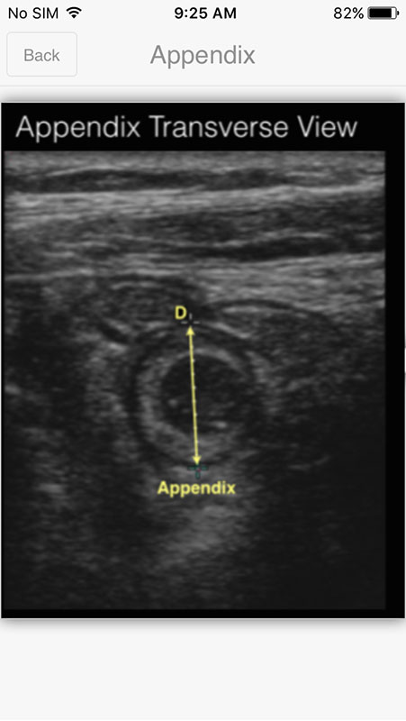
Each category contains a list of subcategories for that anatomical region, i.e. the specific anatomy you want to learn about. For example, Abdomen has 6 subcategories, including Appendix, Biliary, Gallbladder, Liver, Pancreas, and Spleen. The Musculoskeletal category has 5 subcategories, including Ankle, Elbow, Hip, Knee, and Shoulder Effusions, and so on.
Selecting the subcategory opens a screen with an ultrasound image of the specific organ. Images are labeled, pointing out specific structures in normal anatomy. Some of the subcategories also contain normal expected values for particular organs. There are also abnormalities in some of the categories tho, but they do not contain ultrasound images, only textual description of pathology values (for example in Ovaries category where Ovarian torsion is explained besides normal image).
Some categories contain images neither for normal nor abnormal values, for example, 1st Trimester in Ob/Gyn category. Other categories, in the other hand, contain only images, without describing normal values, like in Musculoskeletal category.
For those categories that have an image, there's only one image that features just one view, which, in my opinion, isn't sufficient to show normal ultrasound anatomy. There should be multiple images from different angles, and perhaps even comparisons to an illustrated images depicting the organ.
To see the image in more detail, you just need to tap on it, which expands the image (zooms in). However, this part isn't implemented so well. The image expands outside the screen and there's no option to fit it inside. The horizontal rotation doesn't work, so users are stuck with a vertical view, which isn't mobile friendly.
Also, the app creators claim that images are high quality, but in reality, they're not. They stay the same resolution when you expand them, only looking a bit grainier. I expected this part to be much better in the app that focuses on ultrasound imaging.
Besides anatomical categories, the home screen also includes a list of useful links to ultrasound educational material, including online lectures and image archives, which all link outside the app. Also, the app lists all references that were used for the content.
Overall, Pocket Emergency Ultrasound app is easy to use, however with somewhat limited content that should provide more information, as well as multiple ultrasound images and organ illustrations for a comparison. As long as it stays free, Pocket Emergency Ultrasound app is worth a download, but only as a weaker sidekick to more worthy and serious ultrasound apps and tools.
Benefit: Medical providers working in emergency medicine and intensive care would benefit from this app
Verdict:
For- Easy to use and navigate
- Links to various other resources
- Content is backed up with reference
- Examples contain only one ultrasound image or no image at all
- Images are not high quality and are not displayed well on mobile screen
- Although designed to show only normal values, pathologies are also shown for several cases, however without ultrasound images
- Not available for Android














Your thoughts on this
Loading...