Scores
Many patients have some form of medical imaging performed during their examinations and management. X-ray remains the most frequently performed type of imaging modality, because it is cheap, readily available, and loaded with information.
X-ray is an excellent diagnostic tool as long as medical providers know how to interpret them.
Nearly every medical specialty requires providers to be able to interpret everything from chest X-rays to orthopedic images films to abdominal X-rays.
While interpreting X-ray images may not be a problem for most seasoned physicians, many medical students on a rotation or junior doctors may find it difficult and daunting.
The cause for this? Well, X-ray interpretation is often an overlooked subject in the medical school curriculum. According to one study of senior students at a US medical school who were presented with five X-ray films, only 60% of students made the correct diagnosis.
Learning how to interpret X-rays (particularly chest X-rays) upon starting clinical rotations is essential for every medical student. Most of them, however, learn about this in a totally disorganized way, usually by seeing only abnormal x-ray films, and going through them with an intern.
After completing formal education and starting their shifts, junior doctors, who might not always be able to rely on a senior opinion during on-call shifts, must be able to confidently assess radiographs and detect abnormalities, especially those that are life-threatening.
Being familiar with normal anatomy in radiographs increases one's chances of detecting an abnormality when one is present, even if the condition can't be diagnosed definitively.
The key to interpreting X-rays, therefore, is using a systematic approach that should help students and junior doctors detect major chest abnormalities, reach a diagnosis, and take appropriate and timely action.
Another, equally important segment is getting lots of practice. Regularly reviewing radiographs with colleagues and presenting them to senior colleagues while on the ward may be helpful.
There are lots of radiology textbooks available that medical students and interns may use, but many of these books have significant limitations, such as poor quality images which are not ideal for displaying the radiological findings, or the findings which are usually only described in a figure below the image, not on the image itself.
Luckily, a variety of X-ray learning tools and resources are available for medical students and seasoned physicians via mobile apps made for smartphones and tablets.
The app we reviewed today, called Sublux, is one of them. It is a quick reference for a plain radiography designed to help medical students, residents, and even seasoned physicians interpret the X-ray images of different body systems and common pathologies.
The name of the app was probably derived from "subluxation," a term used to describe joint malalignment without complete dislocation.
However, Sublux app does not only cover ortho trauma, as its name might suggest but also tries to teach the basics of plain radiography for chest and abdominal X-rays as well.
The Sublux app includes over 200 examples of different X-ray pathologies for nearly every area of the body with evidence-based treatments.
Upon opening, the app would present users with Terms explaining that the app is intended for informational, educational, and research purposes, not for the diagnosis of the disease or other conditions.
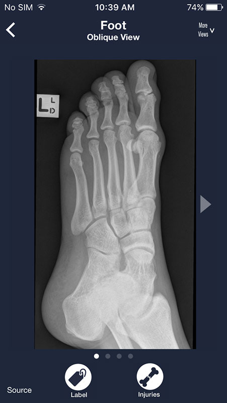
After accepting these Terms, the users are taken to the main screen featuring main body systems, including Arm, Leg, Spine, and Torso.
Each of the systems contains radiographs of particular body parts, for example, shoulder, hip/pelvis, foot, spine, chest, abdomen, etc.
Tapping on any of these sections opens a series of images featuring a selected body part. For example, if you've chosen shoulder, you'd be presented with an X-ray image of a shoulder.
You can swipe the screen to navigate through the series of images. Each following image is annotated and contains a piece of advice on what to look for on a radiograph in order to distinguish between normal anatomy and abnormalities/pathologies.
There are two buttons below each image. First, Label button annotates the structures in the first image, showing them in different colors with names.
The other button, Injuries, features the list of most common injuries/pathologies related to a particular body part. For example, shoulder injuries such as AC joint disruption or proximal humerus fracture, or heart failure or pulmonary nodule in chest radiographs.
While in the Injury view, you can also select Label to view any abnormalities annotated, or Info button which provides users with the explanation of the presentation and X-ray findings, as well as management recommendations, without references used.
Tapping on Source shows the author of the image as well as the website the image was taken from (it is Radiopaedia.org in most cases).
Most radiographs can be viewed from multiple angles. Simply tap on More Views above each image and choose between different views.
For example, you can view shoulder from AP view, apical oblique, or lateral Y, or choose to view chest X-rays from frontal or lateral view, which may be particularly useful to spot some abnormalities that might not be visible from frontal view (for example atelectasis).
The menu button on the main page provides users with X-ray Basics which explain the basics of plain films, what views to order, how to spot a fracture and different types of fractures.
The Sublux app is very easy to use, although it can become a bit unresponsive at times, particularly the back arrow that often overlaps with the image title and can't be tapped on. The solution is to choose Injuries menu and then get back. The title becomes centered again and you can tap on the Back arrow.
Overall, the Sublux app is a must-have app for anyone wanting to learn more about the basics of X-ray interpretation, including medical students, residents, and primary care providers.
The app uses an easy to follow approach to interpret X-ray images with almost every major body part covered, including the most common related pathologies.
Benefit: Students, residents, primary care providers, and all providers who interpret X-rays may find this app useful
Verdict:
For- Easy to use interface
- Detailed coverage of most body parts and common pathologies with labels
- Multiple views enable viewing images from different angles
- Quick textual info explaining presentation, X-ray findings, and management for each pathology
- The app contains management recommendations for each of the pathologies, but includes no references
- Some image titles are not centered and overlapping with Back arrow, disturbing the navigation flow
- Not available for Android


























Your thoughts on this
Loading...