Scores
All physicians should be able to view diagnostic imaging at the point of care. Most diagnostic imaging studies are standardized and can be viewed on a DICOM machine, requiring a CD that contains images. This isn't the most convenient solution especially when the time is lacking.
Fortunately, mobile technologies made it possible for physicians to view diagnostic images from their smartphones and tablets, helping them make quicker diagnoses.
However, despite the convenient solution, the issue of obtaining patient's diagnostic images remained, particularly if diagnostic tests were performed at an outside hospital or from a different geographic area.
We have already reviewed Mobile MIM app, an FDA-approved diagnostic imaging tool that enables healthcare providers to view radiology images on their mobile devices while they're away from their workstation and share them with their colleagues in order to provide timely diagnosis and treatment plans.
This was made possible thanks to the central cloud (MIM cloud) where the medical images were stored, readily available for viewing and sharing.
Despite its advantages, Mobile MIM app was intended to physicians, radiologists, radiotherapists and other healthcare providers, and not to patients who also required a more convenient tool to view their diagnostic images sent to them from their doctors and to share these images with the specialists.
Creators of Mobile MIM app made another app called VueMe, which was aimed directly at patients, allowing them to store their medical images on the MIM cloud, and exchange these images (share and receive) with their physicians and specialists.
Basically, VueMe and Mobile MIM apps are connected via MIM cloud, which means that physicians can now send medical images stored on the cloud directly to a patient's iPhone or iPad (yes, this one is also not available for Android), allowing them to view these images, keep a record of them, and share them with whoever they want over the MIM cloud.
Patients can also request copies of their scans on a CD and upload these files to iPad, iPhone, or iPod touch using the free MIM cloud software.
VueMe app has the same interface as Mobile MIM app, which means it works in the same manner.
The main profile page allows users to search MIM cloud for images, view own images or images they downloaded to the app, use the Breeze image sharing via Wi-Fi or Bluetooth, or view sample patients, which is really useful solution for users who just want to see how the app works, but they haven't registered the MIM cloud account.
These sample images feature same imaginary patients and cases from the Mobile MIM app and contain X-ray, PETCT, MR, and ultrasound scans, alongside the name of the procedure.
Tapping on the image would initiate the download, which may vary in size, from 2MB to 76.5MB. After the download is completed, the image would open, and if the image is part of the series, you'd be able to view the first image until the whole series is downloaded.
All downloaded images would be available in My Images section, where you can also delete those you don't want to use anymore or to free the space on your device. Images are available on the MIM cloud, so you can always re-download them.
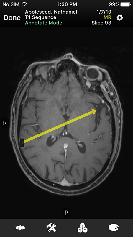
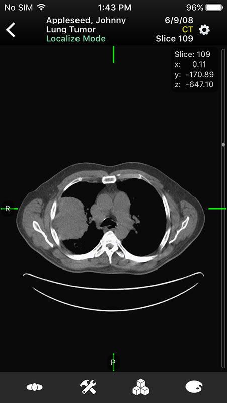
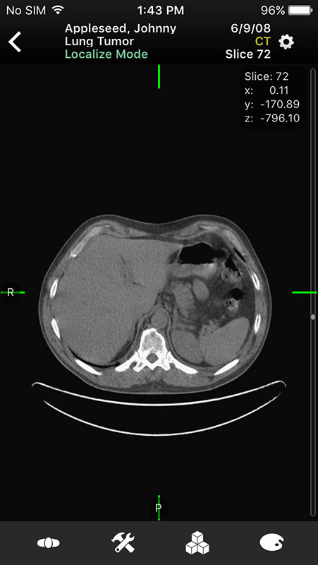
Just like in Mobile MIM app, images open in multi-planar view allowing users to choose series depending on the type of imaging technique, add annotation, or measure the image.
However, unlike Mobile MIM, VueMe app doesn't contain additional viewing features or image details, such as acquisition type, technique, etc.
Navigation in the image window is simple, but be sure to consult the guide that explains how to manipulate images.
For example, flicking screen right or left enables users to switch between series, planes, and images, while swiping up and down switches between planes, or images in the series (with 2D images).
Swiping across the screen at regular speed adjusts the contrast of the image, whereas right/left changes the level, and up/down changes the window.
Users can also scroll through slices by using the scroll area on the right edge of the screen. However, it's invisible and it can easily trigger another (unwanted) action.
Besides sharing images via MIM cloud, data transfers are also possible via Breeze feature which allows secure and instant transfers of images directly to another iPhone, iPad or iPod touch, whether it's to a physician using the Mobile MIM App, or to another VueMe app user.
When uploading images to MIM cloud, it should be noted that the first three uploads are free, after which your MIM cloud account will be charged $1 for each additional imaging study.
Overall, VueMe is an amazing app which, in combination with MIM cloud and FDA-approved Mobile MIM app, provides a simple and convenient way for patients to view, store and share their radiology imaging.
Benefit: All patients who want to view their diagnostic imaging studies ion their mobile devices, or to store and share them with their providers would benefit from this app
Verdict:
For- Easy to use and navigate
- Provides multi-planar view
- MIM cloud makes download, storage, and sharing of images simple
- Navigation may seem confusing due to overlapping gestures
- No additional viewing features or image details
- Not available for Android
















Your thoughts on this
Loading...