
Lab-Grown Teeth: Dentistry's Final Frontier?
There are often some headlines claiming how scientists have unlocked the key to growing new teeth in the lab. So what exactly are these lab grown teeth and why are they still not freely available to everyone?

Permanent dentures: Pros and cons
It seems that dentists are busier than ever. However, not all people are lucky to have successfully repaired their teeth. Some of them have only one choice — a permanent denture.

Just Found Out Some Of Your Teeth Did Not Develop At All: What Now?
A large percentage of the population has one or more missing teeth. Luckily, most of the times it can be ignored but can cause havoc with dental health the other times. Find out why some teeth do not develop at all and what can be done about it.

Yikes, Your Child Just Injured Their Teeth: What Now?
What should you do if your child suffers a blow to the teeth and chips a tooth or even knocks it out completely? This dentist can hel

What Kind Of Crown Is Best For The Teeth?
Dentistry can often entail having to make choices at the doctor's office. Here is everything you need to know about the different kinds of crowns that may be offered to you.

Alligators’ Secret Could Help You Regrow Your Teeth
Many animals such as alligators are able to grow new teeth to replace those lost through wear and tear. If scientists can uncover how this happens they could not only help people who lose teeth, but also those who develop tooth tumors.

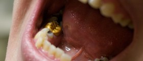
What To Expect From Dental Implant Surgery
Any surgical procedure can be scary — particularly if it involves a dentist, a drill and your bone. In this article we try to help you understand the procedure, answer common questions and give you an idea of what the patient can expect to go through.

Dental Implants Surgery: The Pros And Cons
Missing teeth can make you feel self-conscious and interfere with normal eating and speaking. For some people, dental implant surgery may be the answer.

How To Know Your Dental Implant Is Failing And What To Do About It
Dental Implants are a very effective way to replace missing teeth, however they are not infallible. So how do you recognize the signs and symptoms of a failing implant? What do you do once you have recognized it? Read on to find out.

What Will Happen If You Do Not Replace A Missing Tooth?
There can be many reasons for not having a missing tooth replaced including but not limited to time, money, fear and convenience. The sequence of events that follows though is catastrophic for oral health. Read On to find out how.