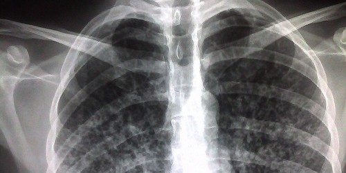
What are the facts about rifater, the drug used in the treatment of tuberculosis? I am trying to learn what the side effects are that associated with the use of rifater? Are there side effects of rifater heavy? If so, are there any TB drugs that have fewer side effects than 3 rifater?            
 
            
            Loading...
                In most people, medication will cure tuberculosis if the correct drugs are taken for the right amount of time, and it can take up to 12 months to cure it successfully. All of the regular treatments have similar side effects, mostly related to digestion troubles and many people have no, or minor, side effects. Rifater, one of the most used medications in treatment of tuberculosis, can cause diarrhea, dizziness, drowsiness, or stomach gasses, but if you experience severe allergic reactions, se that your skin or eyes have turned yellowish or have fever for three or more days then it’s necessary to see a doctor immediately, stop he could eventually stop or change the treatment.            
 
            
             
                        Loading...
 
         
         
                             
                             
                             
                             
                             
                             
                             
                             
                             
                             
                             
                             
                             
                            