
Relationship between cigarette smoking and lung cancer
Cigarette smoking has a strong relationship with the development of lung cancer. It is believed that smoking is responsible for 87% to 90% of all lung cancer cases in America. Smoking increases the risk of developing lung cancer by 8 to 10 times. In men who smoke, the risk of developing lung cancer is 23 times more compared to men who do not smoke. Similarly, women who smoke have a 13 times increased likelihood of developing lung cancer compared to women who do not smoke. The risk of lung cancer is directly proportional to number of cigarettes smoked, and is calculated as “pack years.” Cigarette smoking is associated with lung cancer because this smoke contains more than 50 chemicals which can cause cancer. These carcinogens include arsenic, vinyl chloride, nickel, benzene, etc.

How does smoking cause lung cancer?
Tobacco smoke contains tar and nicotine. Tar consists of around 4000 chemicals, out of which 50 to 60 are known carcinogens. When a person smokes, these chemicals enter the lungs and spread through blood. When they enter inside the lung cells, they damage the DNA and cause certain changes in the genes. DNA controls the growth and division of cells. A DNA that has undergone mutation because of exposure to carcinogens divides uncontrollably, leading to development of lung cancer. Moreover, smoking destroys the cilia present in the airways. The cilia are responsible for cleaning the airways. They throw out any foreign bodies, toxins and pathogens present in the airways. However, in case of smokers, because of the destruction of cilia, tar tends to accumulate in the airways and lungs where it can produce cancer.

Symptoms of lung cancer
Symptoms of lung cancer depend on its size and location. Some of the common symptoms associated with the disease include: • Intense and persistent bouts of coughing • Pain in chest and shoulders because of repeated coughing • Changes in the color of sputum- it may even be blood tinged • Hoarseness of voice • A harsh sound, called as stridor, associated with breathing • Patient may develop chronic bronchitis or pneumonia • Unexplained weight loss • Low grade fever • Generalized weakness If the cancer has metastasized to other body parts, the symptoms may include: • Pain in bones and joints • Memory loss • Problems in cognitive functions • Swelling of face and neck • Bleeding disorders

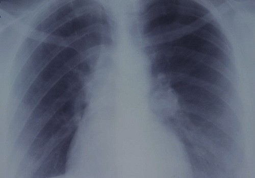
Diagnosis of lung cancer
Lung cancer is diagnosed with the help of the tests described below: • Chest X-ray: It is the first test done to diagnose lung cancer. Cancers big enough can be easily visualized on an X-ray as white grey mass. • CT scan: A computerized tomography (CT) scan is usually performed after administering a radioactive dye to the patient. The lungs can be better visualized in this manner. • PET-CT scan: A positron emission tomography CT scan is useful in diagnosing early stage cancers as it can help in locating active cancer cells. • Bronchoscopy: Bronchoscopy is useful in centrally located tumors. It helps in visualizing the tumor and allows specimen to be taken for biopsy. • Sputum examination: Sputum is taken for cytological examination to see the presence of cancer cells. • Percutaneous needle biopsy: Needle is guided to the tumor site through skin with the help of CT scanner and specimen is collected for the purpose of biopsy.

Classification of lung cancer
Lung cancers can be broadly classified into two types: • Secondary lung cancers: The primary cancer is elsewhere and it has metastasized into the lungs. • Primary lung cancer: It originated in the lungs and can be of the following types: 1. Oat (small) cell carcinoma: It accounts for 20-30% of all lung cancers and is strongly associated to smoking. Responds well to chemotherapy. 2. Squamous cell carcinoma: It accounts for 30-40% of all lung cancers. Usually grows around the major bronchus and metastasizes late. 3. Adenocarcinoma: It arises peripherally from the mucus glands and metastasizes early to the mediastinal lymph nodes, bones and brain. 4. Large cell carcinoma: Shows early metastasis. 5. Mesotheliomas: Usually presents with pleural effusion. Strongly associated with exposure to asbestos. 6. Benign lung tumors: Only 3% of lung tumors are benign. They are pulmonary hamartomas and carcinoid tumors.

Staging of lung cancer
The National Cancer Institute has given the following staging for lung cancer: Staging for small cell lung cancer: • Limited stage: Cancer limited to one side of the chest and nearby lymph nodes. • Extensive stage: Cancer has spread to other parts of the chest or to distant organs. Staging for non-small cell lung cancer: • Hidden stage • Carcinoma in situ • Stage I: Cancer is localized to lungs and has not spread to any lymph nodes. • Stage II: Involves lung and adjacent lymph nodes. • Stage IIIA: Cancer involves the lymph nodes on the same side of the chest. • Stage III B: Cancer has spread to lymph nodes of the opposite side or above the clavicle. • Stage IV: Cancer has spread to both the lungs, pleural cavity and even metastasized to other organs.

Survival rates for lung cancer
According to the American Cancer Society, the survival rate for people diagnosed with lung cancer depends upon the stage of cancer at the time of diagnosis. While the 5 year survival rate for stage I cancer was 49%, it was just 1% for cases diagnosed at stage IV. This data is for non-small cell cancers which are relatively non aggressive compared to small cell carcinomas. The overall rate of survival for all stages of non-small cell lung cancers is around 15%. Small cell lung cancers are very aggressive and tend to spread rapidly. The 5 year survival rates for both limited and extensive forms of small cell lung cancers are about 6%.
- Important notification about information and brand names used in this slideshow!
- Photo courtesy of Tom by Wikimedia Commons : commons.wikimedia.org/wiki/File:Lung_cancer_US_distribution.gif

Lung cancer and second-hand smoking
Various organizations like the US Environmental Protection Agency (EPA), the US National Toxicology Program, and the International Agency for Research on Cancer (IARC), a branch of the World Health Organization have classified second hand smoke as a “known human carcinogen.” It is responsible for causing 3000 deaths due to lung cancer in the US alone. Worldwide, patients succumbing to lung cancer deaths attributable to second hand smoke number around 21,000 every year. Even a small exposure to second hand smoke can increase the risk of lung cancer. Yet, almost half of non-smokers are exposed to second hand smoke on a regular basis.

Treatment for lung cancer
The treatment of lung cancer involves following modalities: Chemotherapy: It can be given for both small cell cancers and non-small cell cancers. It hampers the growth of cancer cells by killing them or prevents them from dividing further. It can be administered alone or in conjunction with radiotherapy. It is the treatment of choice for small cell cancers as they tend to be widespread. Without chemotherapy, such patients tend to survive for barely four months. However, with chemotherapy, the survival rate increases five folds. Surgery: Surgical removal of tumor is limited to stage I and rarely stage II of non-small cell cancers. About 10-35% of tumors can be removed surgically but most of the times they have spread elsewhere through blood and recur later. Radiation therapy: It can be given for both small cell and non-small cell cancers and exerts its action by killing the tumor cells. It is given prior to surgery to shrink the size of the tumor or reserved for patients who refuse surgery. It can also be given in cases which cannot be surgically removed as when tumor is extending behind the mediastinum. Combining it with chemotherapy can increase the survival rate of the patient. Besides...
The treatment of lung cancer involves following modalities: Chemotherapy: It can be given for both small cell cancers and non-small cell cancers. It hampers the growth of cancer cells by killing them or prevents them from dividing further. It can be administered alone or in conjunction with radiotherapy. It is the treatment of choice for small cell cancers as they tend to be widespread. Without chemotherapy, such patients tend to survive for barely four months. However, with chemotherapy, the survival rate increases five folds. Surgery: Surgical removal of tumor is limited to stage I and rarely stage II of non-small cell cancers. About 10-35% of tumors can be removed surgically but most of the times they have spread elsewhere through blood and recur later. Radiation therapy: It can be given for both small cell and non-small cell cancers and exerts its action by killing the tumor cells. It is given prior to surgery to shrink the size of the tumor or reserved for patients who refuse surgery. It can also be given in cases which cannot be surgically removed as when tumor is extending behind the mediastinum. Combining it with chemotherapy can increase the survival rate of the patient. Besides these modalities, targeted therapy is also tried in some cases.

Environmental risks for lung cancer
Some of the common environmental factors that increase the risk of developing lung cancer include: • Asbestos • Radon • Occupational chemicals • Environmental tobacco smoke Experts say that almost 155 of all lung cancers in men and 5% of all lung cancers in women are due to exposure to pollutants at work place. Exposure to asbestos can cause malignant mesothelioma more than 20 years after initial exposure. Other chemicals known to produce lung cancer are radon, benzene, uranium, arsenic, etc. Similarly, inhaling diesel fumes and other gases emitted by vehicles may also predispose a person to lung cancer. It is believed that of all the lung cancers, at least 5% can be attributed to air pollutants.
Your thoughts on this
Loading...