Couldn't find what you looking for?

TRY OUR SEARCH!


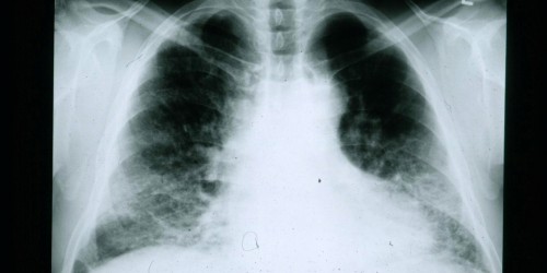
I have a friend who told me he has some lung disease. When I asked him what is his problem he seemed to be confused. He told me it is something like interstitial lung disease. When I found his diagnosis he get from the doctor, there was written he has idiopathic pulmonary fibrosis. I want to know is that the same problem or he does not know what happened to him.

Loading...


Interstitial lung disease, is the same condition as idiopathic pulmonary fibrosis, just the names are different. Some other terms for the same condition are connective tissue or autoimmune disease-related pulmonary fibrosis. Sometimes, interstitial lung disease is called hypersensitivity pneumonitis, or sarcoidosis, as well as many others. The most common symptoms of interstitial lung disease are shortness of breath with exercise and a non-productive cough. These symptoms are generally slowly progressive, although rapid worsening can also occur in some patients. Some people also may have a fever, weight loss, fatigue, muscle and joint pain, and abnormal chest sounds. It is depending upon the cause of patient’s interstitial lung disease. In this disease, the tissue in the lungs becomes inflamed or sometimes even scarred. I think you could reach conclusion until now, that progression of interstitial lung disease varies from disease to disease and from person to person. It is important to determine the specific form of disease in each patient, because what happens over time and the treatment may differ depending on the cause. you should also know that each person responds differently to treatment and close monitoring during treatment is important.
Reply

Loading...

I was diagnosed with Parkinson’s disease four years ago. For over two years, I relied on Levodopa and several other medications, but unfortunately, the symptoms kept getting worse. The tremors became more noticeable, and my balance and mobility started to decline quickly. Last year, out of desperation and hope, I decided to try a herbal treatment program from NaturePath Herbal Clinic.Honestly, I was skeptical at first, but within a few months of starting the treatment, I began to notice real changes. My movements became smoother, the tremors subsided, and I felt steadier on my feet. Incredibly, I also regained much of my energy and confidence. It’s been a life-changing experience I feel more like myself again, better than I’ve felt in years.If you or a loved one is struggling with Parkinson’s disease, I truly recommend looking into their natural approach. You can visit their website at www.naturepathherbalclinic.com.   info@naturepathherbalclinic.com

Reply

Loading...