Interstitial lung disease (ILD) is a broad category to describe a number of potential lung diseases that all have the same general characteristics. They involve the parenchyma of the lungs; space where blood vessels meet oxygen stored in the lungs as we breathe. With interstitial lung disease, this parenchyma widens so the area between where oxygen enters the blood is further apart and as a result, patients will not have the same oxygen-carrying capacity in their blood like they once did.
There are several ways people develop ILD, either after severe bacterial, viral or fungal infections. This category is termed interstitial pneumonia. Autoimmune conditions like rheumatoid arthritis, scleroderma or lupus can all lead to ILD as well. The last cause of ILD would be idiopathic pulmonary fibrosis, which is a disease marked by a gradual change of tissues in the lungs that occurs due to unknown reasons.

Some foreign agents that are also linked with ILD would be compounds like asbestos, silica dust, talcum, coal dust and grain dust from farming. ILD from these types of agents is very worrisome and will not only lead to low levels of oxygen in the body, but several studies link these agents to very high levels of lung cancers.
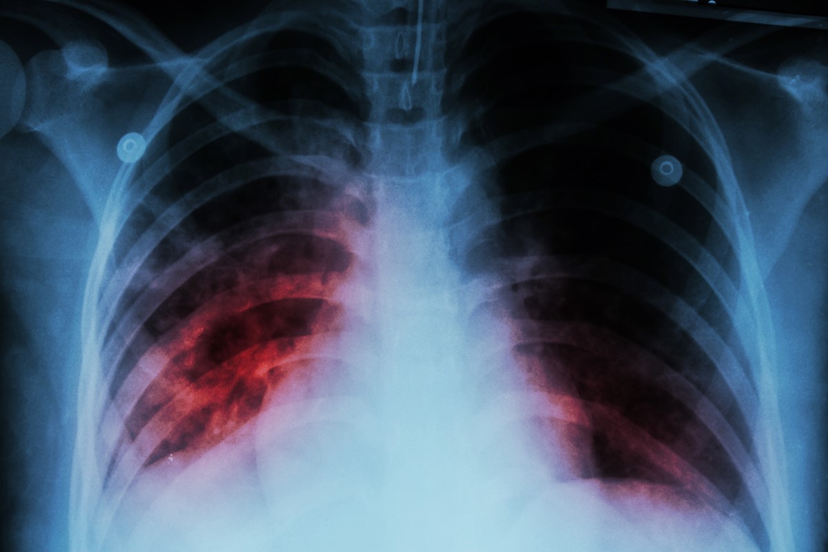
Patients with ILD will have a history of long-term shortness of breath and a non-productive dry cough that does not get better with antibiotics. Patients will be diagnosed quite quickly when they obtain a chest X-ray of their lungs. Patients will ILD will have visible fine lines that are seen in the lung fields.
Once this is established, the next step is to order a computed tomography test, which will give you a better idea of the extent of the damage. To get a full clinical picture of where the patient is currently at, physicians will also need to order pulmonary function testing. Patients will have to undergo a series of breathing tests to see how severe this lung function currently is.
A lung biopsy is what will ultimately need to be taken to determine the extent and the agent responsible for causing the ILD in the first place. Patients with ILD will need to take antibiotics like Azithromycin and corticosteroids to help reduce the inflammation in their lungs.
Even if temporary treatment is possible, having ILD is a serious condition. There are higher rates of mortality when patients have ILD. One study estimates that ILD increases your risk of mortality by at least 13 percent. [1] What is more, there is no guarantee that corticosteroids will help patients because many causes of ILD are non-refractory to this therapy. As I previously had mentioned, asbestos and coal dust are also associated with severe forms of lung cancer so ILD will be the least of your worries in this situation.
Patients with ILD should be under the care of pulmonologists as well as rheumatologists to make sure that their disease is under control. It is hard to comment on general prognosis aspects because each case of ILD is specific to the underlying cause of the disease.
- 1.) https://www.ncbi.nlm.nih.gov/pmc/articles/PMC4028137/
- Photo courtesy of SteadyHealth