
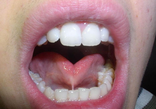
Ankyloglossia
Ankyloglossia is also called as “tongue-tie is common parlance. It is a condition when the tongue is attached to the base of the mouth with the help of a very small tissue called as lingual frenulum. Because of this tissue, the mobility of the tongue is severely hampered. It is a condition commonly seen in babies wherein it may cause difficulty in sucking. If the condition is not corrected, it may produce gaps in between the lower front teeth. The speech of the child is also affected and he has difficulty in pronouncing words like t, d, z, s, n and l, which involve the movement of the tip of the tongue. The condition is corrected surgically through a procedure called as frenotomy where the frenulum is clipped. However, if the problem is not corrected in infancy, doctors may have to do a frenuloplasty. Apart from that, speech therapy may also be required.
- Important notification about information and brand names used in this slideshow!
- Photo courtesy of Klaus D. Peter, Wiehl, Germany by Wikimedia Commons : en.wikipedia.org/wiki/File:Frenulum_linguae.jpg
- www.healthwise.net/weillcornell/Content/StdDocument.aspx?DOCHWID=hw183100
Limitations in volume and projection
Limitations in volume and projection of voice are features generally seen as a part of normal ageing process. Normally, as a person ages, the vocal cord muscles loss their bulk and the connective tissue which is responsible for the vibration of vocal cords during sound production becomes thinner and less flexible. This leads to changes in voice quality associated with old age. The loss of projection and resonance becomes all the more prominent when the person tries to raise his voice to be heard over other background sounds. Apart from limitations in volume and projection of voice leading to a thin voice quality, other changes seen in voice quality as we age are: • Increase in pitch in men • Decrease in pitch in women • Decrease in vocal endurance • Shaking of voice • Difficulty in making one’s voice heard over other noises
- Important notification about information and brand names used in this slideshow!
- Photo courtesy of Mads Johansen by Flickr : www.flickr.com/photos/the_zaro/8279560734/
- weillcornell.org/voicedsdrs/
- http://www.asha.org/public/speech/disorders/voice.htm
- http://www.nlm.nih.gov/medlineplus/voicedisorders.html
- http://en.wikipedia.org/wiki/Ankyloglossia
- http://en.wikipedia.org/wiki/Puberphonia
- http://www.entnet.org/HealthInformation/Voice-and-Aging.cfm
Puberphonia
Puberphonia is a psychogenic disorder affecting juveniles. In this condition, the adolescent tries to resist the maturing of his voice. He deliberately tries to maintain a higher pitch seen in the voice of pre-adolescents. Although more commonly seen in boys, it may also be seen in girls. The condition usually responds to psychotherapy. There are times when puberphonia does not have psychogenic origins. It may be a result of some physical problem at the time of voice cracking during the time of puberty, or due to some upper respiratory tract infection, or be due to intubation. In these cases, puberphonia responds to functional therapy.
- Important notification about information and brand names used in this slideshow!
- Photo courtesy of Ian T. McFarland by Wikimedia Commons : en.wikipedia.org/wiki/File:Myneck.JPG
- http://www.lionsvoiceclinic.umn.edu/page3b.htm#Juvenile Voice/Mutational. Fals
Voice fatigue
Our voice stands with us in good stead throughout our lives. However, its quality depends a lot on the way we use our voice. Abusing our vocal cords or misusing them may lead to a rapid deterioration of the voice quality. Our voice quality depends upon the condition of our vocal cords which are like any other muscle in our body. Efficient use of these muscles can help us retain a good quality of voice. However, if we talk for long hours, shout, yell or make other inefficient use of our voice, it can lead to problems like vocal fatigue, increased effort of vocal cords, and hoarseness of voice. Prolonged abuse of voice can lead to tension in the muscles of the neck and the larynx. This, coupled with a poor breathing technique can lead to tiring of vocal cords, a condition known as vocal fatigue. It can also lead to benign lesions of the vocal cord or hemorrhage of vocal cords.
Problems associated with vocal cords
Vocal cords are two bands of smooth muscles situated in the voice box. When the air passes through the vocal cords to the lungs, they vibrate producing “sound.” As this sound travels through the throat, mouth and nose, it attains a characteristic resonance. The quality of sound varies from person to person depending up on the shape and size of his vocal cords and the size and shape of the different resonating cavities. Most of us do not pay any attention to our vocal cords and abuse our voice by excessive talking, shouting, yelling, smoking, etc. This may damage the vocal cords and cause various problems like laryngitis, vocal nodules, polyps and paralysis of vocal cords.
Hoarseness
Hoarseness, also called as muscle tension dysphonia is often a result of overuse of the vocal folds. It may also result due to irritation caused by acid in acid reflux disease, as a compensatory mechanism for some other pathology of vocal cords, or it may develop following an upper respiratory tract infection. It is a functional problem and there is no structural pathology involved. The malfunctioning of the muscles of the vocal cords may result in poor quality sound, discomfort in throat and an increased effort while speaking. The voice in muscle tension dysphonia may appear to be: • Raspy or coarse • Weak and hollow • Shaky and halting • Strained, choked and tight • Suddenly changing pitch or fading away • The pitch may be extremely high or low
Voice spasms
Voice spasm is a neurological condition affecting the vocal cords. The muscles of the vocal cords experience sudden involuntary movements or spasms. These vocal spasms interfere with the vibration of the vocal cords and affect their ability to produce sound. Voice spasms or spasmodic dysphonia can lead to the breaking of the voice of the patient after every few sentences. When the condition is severe, the spasms of the vocal cords cause the voice to break after every other word, making the speech almost incomprehensible. Voice spasms usually first affect people when they are between 30 and 50 years of age. Women are more likely to be affected. The spasms vary in intensity and may spontaneously reduce for a few hours or even days.
Paradoxical Vocal Fold Movement
Paradoxical vocal cord movement (PVFM) is a term used to define abnormal movement of the vocal cords. This may result in functional airway obstruction and sound of stridor either during inspiration or during expiration. The stridorous breathing in PVFM is often confused with asthmatic wheeze and the patient may even be hospitalized and put on treatment of asthma before the doctors realize that it is a case of PVFM. It is generally an episodic condition. During an episode of PVFM, the vocal cords close while breathing in, a paradoxical situation, as they should ideally remain open while breathing in. PVFM may be triggered by sudden shouting or coughing, exposure to irritants, GERD, exercise and neurological or psychological causes. Voice therapy is often employed for treating this condition.
- Important notification about information and brand names used in this slideshow!
- Photo courtesy of Compassion Over Killing by Flickr : www.flickr.com/photos/tryveg/8026899100/
- www.asha.org/public/speech/disorders/PVFM.htm
Stutter
In stuttered speech, a person repeats words or parts of words, and the speech sounds are often prolonged. This makes the person appear under tension or “out of breath” while talking. There are times when the speech appears to be blocked, i.e., the mouth is opened in a position to say a word, but no sound comes out of the moth for several seconds. It is only after some persistent effort that the person is able to convey his intent. Many a times, when the person gets stuck on some word, he may try to use interjections like “um” or “like.” In some persons who stutter, the stuttering is confined to some specific acts like while addressing a crowd or while speaking on a phone. However, in other persons, stuttering may be a part of their speech irrespective of what they are doing or where they are. This condition may often be a source of embarrassment for the patient.
Aphasia
Aphasia is a speech disorder caused as a result of damage to portions of brain which are responsible for language control. This condition is commonly encountered in patients of stroke, brain tumors, brain infections and injuries. Aphasia is categorized into four main types. They are: • Expressive aphasia: The patient knows what to say but cannot express it in written or oral language. • Receptive aphasia: Patient can hear a voice or see that something is written but his brain is unable to process it. • Anomic aphasia: Person knows about a certain person, place or thing but cannot recollect its name • Global aphasia: Patient is unable to speak, cannot comprehend written or oral language, cannot speak and cannot write. Patients of aphasia are often treated with the help of speech therapy.
- Important notification about information and brand names used in this slideshow!
- Photo courtesy of Ars Electronica by Flickr : www.flickr.com/photos/arselectronica/8740267535/
- www.nlm.nih.gov/medlineplus/aphasia.html










Your thoughts on this
Loading...