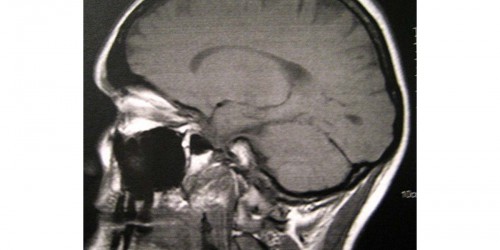
My son was diagnosed when he was 18 with nf2 she's had five brain surgeries he's had the one on the right Temple removes had one on the left temple removed with a cyst he also had both bone plots removed and a tumor behind the eye removed he still has numerous numerous tumors he has one on acoustic nerve that are growing quite large how long do you think he has to live
Loading...