
What Is Sickle Cell Anemia?
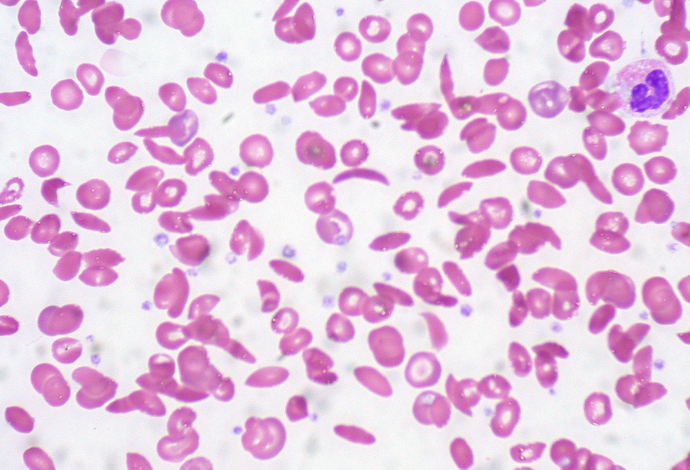
Sickle cell anemia, also referred to as sickle cell disease, is a genetic condition that causes a mutated form of hemoglobin. The deformed hemoglobin causes deformed red blood cells that take on an elongated, sickle shape rather than the usual ovals. Sickle cells don't carry oxygen as efficiently, so someone who has the disease is effectively anemia. and sickle cells and they have a greater tendency to clot. Clotting frequently interferes with the germ-clearing function of the spleen, so people who have sickle cell disease are at greater risk for infections. Problems with blood flow cause chronic pain, kidney dysfunction, and sometimes stroke.
- Important notification about information and brand names used in this slideshow!
- Photo courtesy of Ed Uthman by Flickr : www.flickr.com/photos/euthman/5610746554/
- www.nhlbi.nih.gov/health/health-topics/topics/sca/
- http://en.wikipedia.org/wiki/Sickle-cell_disease
- http://www.nhs.uk/conditions/Sickle-cell-anaemia/Pages/Introduction.aspx
- http://www.mayoclinic.com/health/sickle-cell-anemia/DS00324
- http://kidshealth.org/teen/diseases_conditions/blood/sickle_cell_anemia.html
Blood Cells And Blood Vessels
In sickle cell disease, deformed red blood cells tend to clot and clog blood vessels. The single most common symptom of sickle cell disease is pain caused by the occlusion of veins that can occur anywhere in the body. It may present as dachtylitis, pain in the fingers and toes, or as pain in the joints, or as excruciating pain in the abdomen when the liver is clotted. Many persons who have this condition experience autosplenectomy, in which the diseased spleen "removes" itself, and the pain from the spleen can be referred to other parts of the body so that they hurt, too. Sickle cell disease often causes severe bone pain, as they too are affected by occluded blood vessels.
- Important notification about information and brand names used in this slideshow!
- Photo by shutterstock.com
- Chiang EY, Frenette PS. Sickle cell vaso-occlusion. Hematol Oncol Clin North Am. Oct 2005.19(5):771-84, v.
Diagnosis Of Sickle Cell Disease
Definitive diagnosis of sickle cell disease is done by genetic testing. When a process called electrophoresis detects two copies of the Hb S gene in red blood cells, a diagnosis of sickle cell disease is made. It is important to get the definitive test, because two other diseases cause some of the same symptoms as sickle cell disease, HbSC and Hb-beta thalassemia. HbSC, which occurs in about 1 in 1100 African-Americans, results from having just one of the genes for sickle cell anemia along with a mutant gene for another red blood cell trait. Its symptoms are much milder than sickle cell anemia's, and a more normal life is possible. Beta-thalassemia occurs in persons of Mediterranean as well as African descent, and is also generally easier to treat than sickle cell disease.
- Important notification about information and brand names used in this slideshow!
- Photo courtesy of Lynne Featherstone by Flickr : www.flickr.com/photos/lynnefeatherstone/479017713/
- [Guideline] US Preventive Services Task Force. Screening for sickle cell disease in newborns: U.S. Preventive Services Task Force recommendation statement. Agency for Healthcare Research and Quality (AHRQ). Sep 2007,
Future Cures?
Much of the experience of sickle cell disease consists of moving from one health crisis to another. The costs of treating the disease are enormous, and both quality and length of life are limited. There is some hope for the children of sickle cell carriers, however, in the form of stem cell therapies. Some researchers are seeking methods to correct sickle cell disease shortly after or even before birth. Other researchers are looking at bone marrow transplants for infants using marrow donated by the father or mother of the child. This drastic treatment, if successful, would create a new source of healthy red blood cells so that the child never experiences the disease.
- Important notification about information and brand names used in this slideshow!
- Photo courtesy of Karl Mumm by Wikimedia Commons : en.wikipedia.org/wiki/File:PCR_masina_kasutamine.jpg
- Gillette, H. Curing Sickle Cell Disease In The Womb Could Help Many Hispanics. Huffington Post. 22 January 2014. http://www.huffingtonpost.com/2014/01/22/curing-sickle-cell-disease-hispanics_n_4643722.html. Accessed 24 January 2014.
Treatment Of Sickle Cell Disease
Everyone who has sickle cell disease needs to be under the care of a hematologist, a physician who specializes in diseases of the blood. It is also helpful to make sure the hematologist has experience dealing with many cases of sickle cell disease. Self-care also plays a very basic role in staying crisis-free with this condition. It is necessary to be sure to stay hydrated and to get enough rest, often bed rest, to avoid the "clotting crises" that can come with dehyration or overexertion. Many people who have sickle cell disease receive frequent transfusions, but it is essential that the doctor monitor for signs of iron overload resulting from the breakdown of blood cells. A medication for chronic pain called hydroxyurea is available in the United States, but much of the medical attention for sickle cell disease consists of crisis management.
- Important notification about information and brand names used in this slideshow!
- Photo courtesy of Martin Pulaski by Flickr : www.flickr.com/photos/martinpulaski/7112222751/
- [Best Evidence] Adams RJ, Brambilla D. Discontinuing prophylactic transfusions used to prevent stroke in sickle cell disease. N Engl J Med. Dec 29 2005. 353(26):2769-78.
What Are The Genetics Of Sickle Cell Disease?
Sickle cell disease is caused by the presence of an abnormal gene for the production of hemoglobin, Hb S, rather than the normal gene for the production of hemoglobin, HbA. People who have two copies of the Hb S gene develop all of the symptoms of the disease, and generally have a very short life expectancy, on average just 27 years, even in the United States. Many people born with two copies of the Hb S gene develop kidney failure which cannot be permanently corrected with a transplant by the age of 24. People who have only one copy of the defective gene develop some of the symptoms of the disease, such as blood in the urine, but do not have to deal with the worst symptoms of the disease.
- Important notification about information and brand names used in this slideshow!
- Photo courtesy of photon_de by Flickr : www.flickr.com/photos/photon_de/3302350307/
- Quinn CT, Rogers ZR, Buchanan GR. Survival of children with sickle cell disease. Blood. Jun 1 2004.103(11):4023-7.
Symptoms Of Sickle Cell Disease
What are the first signs of sickle cell disease? Even in infancy, sickle cell disease can cause dachtylitis, a condition of painful joints also known as hand-foot syndrome. As a child with sickle cell disease grows older, the pain involves the long bones of the legs and arms, and later the lower back. Dehydration and changes in body temperature can cause severe pain all over the body. Everyone who has sickle cell disease suffers anemia, which causes severe and often disabling fatigue. Children who have the condition are especially susceptible to infections with parvovirus or strep throat, and adults who have the condition are especially susceptible to food poisoning with Salmonella. Sickle cell disease often causes ptosis, enlargement of the eyes, gallbladder pain, wounds on the legs that will not heal, and, in males, sometimes as early as the age of 12, priapism, continued and uncontrolled erection.
- Important notification about information and brand names used in this slideshow!
- Photo courtesy of Elvert Barnes by Flickr : www.flickr.com/photos/perspective/191300386/
- Olujohungbe A, Howard J. The clinical care of adult patients with sickle cell disease. Br J Hosp Med (Lond). Nov 2008. 69(11):616-9.
Who Is At Risk?
Sickle cell disease is most common among people of African or Mediterranean descent. The condition actually confers a health advantage in locations where malaria is common. The malaria parasite infects red blood cells, and is not able to infect sickle cells. Where malaria is no longer a problem, however, sickle cell disease is an unmitigated health problem. About 8% of all African-Americans carry at least one gene for sickle cell disease, and about 1 in 625 African-Americans has both of the genes for the disease, with the full range of symptoms. In some parts of Africa up to 30% of the population carries at least one gene for the disease, and the condition is also found in Sicily, Turkey, and India, where malaria was once prevalent.
- Important notification about information and brand names used in this slideshow!
- Photo courtesy of momentcaptured1 by Flickr : www.flickr.com/photos/pat_ossa/5420419288/
- Derebail VK, Nachman PH, Key NS, Ansede H, Falk RJ, Kshirsagar AV. High prevalence of sickle cell trait in African Americans with ESRD. J Am Soc Nephrol. Mar 2010. 21(3):413-7.
Possible Complications Of Sickle Cell Anemia
One of the most common and deadly complications of sickle cell anemia is pulmonary hypertension, resulting from blood clots in the vein that carries oxygen from the lungs back to the heart. Some studies have found that 40% of people who have sickle cell have this condition, which worsens with age. Another commmon complication of sickle cell is avascular necrosis, which causes death of the tissues surrounding the hip joint as circulation fails. About 30% of people who have sickle cell disease develop avascular necrosis by the age of 30. Varying degrees of kidney failure in people who have sickle cell anemia and in people who just carry one copy of the gene for sickle cell anemia. The kidneys lose their ability to concentrate waste products, the urine is unusually watery, and dehydration is a constant threat.
- Important notification about information and brand names used in this slideshow!
- Photo courtesy of audi_insperation by Flickr : www.flickr.com/photos/audiinsperation/2350903446/
- Onyekwere OC, Campbell A, Teshome M, Onyeagoro S, Sylvan C, Akintilo A, et al. Pulmonary hypertension in children and adolescents with sickle cell disease. Pediatr Cardiol. Mar 2008.29(2):309-12.
Transfusion Therapy And Bone Marrow Transplants
Since sickle cell disease is a condition caused by defective red blood cells and blood transfusions supply red blood cells, it would seem logical to treat sickle cell disease with blood tranfusions. Actually, the procedure is somewhat problematic. Sickle cell patients receive so many transfusions that they can develop immune reactions to some of the lesser-known proteins in blood, such as the C, E, JKB (Kidd), Kell, and Fya (Duffy) antigens, which are not a concern in people who do not receive transfusions on a regular basis. Multiple transfusions can also cause iron to build up in the bloodstream; this iron may have to be removed with a class of drugs known as chelating agents. Bone marrow transplants are a drastic solution for sickle cell disease. Since the patient's bone has to be irradiated and new bone marrow injected, the procedure is expensive, painful, and risky.
- Important notification about information and brand names used in this slideshow!
- Photo courtesy of Photographer’s Mate 2nd Class Chad McNeeley by Wikimedia Commons : commons.wikimedia.org/wiki/File:Bone_marrow_biopsy.jpg
- Rienhoff HY Jr, Viprakasit V, Tay L, et al. A phase 1 dose-escalation study: safety, tolerability, and pharmacokinetics of FBS0701, a novel oral iron chelator for the treatment of transfusional iron overload. Haematologica. Apr 2011, 96(4):521-5.










Your thoughts on this
Loading...