Couldn't find what you looking for?

TRY OUR SEARCH!

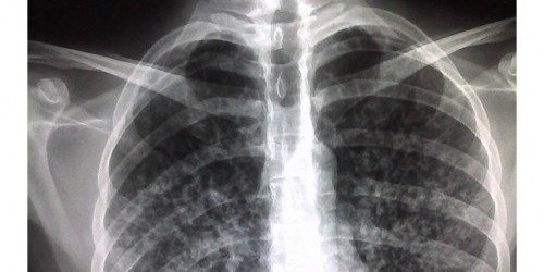
Hello, folks. My daughter is diagnosed with XDR-TB tuberculosis. I must admit that this is quite new piece of info for me. I would like to know something more about this and how serious it is. I would really appreciate all your replies considering this. Thank you in advance. Bye, folks.

Loading...

Hi, there. XDR-TB stands for extensively drug resistant tuberculosis. This form means that tuberculosis is resistant to rifampicin and isoniazid from the first line of drugs, as well to quinolone family and other drugs from the second line of drugs. The treatment option is much reduced. This is a very serious form of tuberculosis. Your daughter should also do the HIV test. I hope she will be all right. Please, let me know how she is doing. Good luck! Bye!
Reply

Loading...