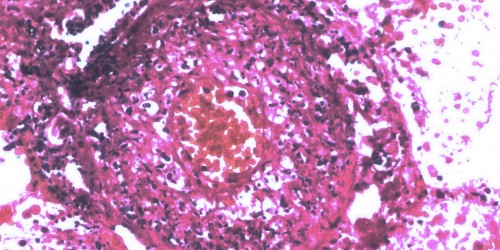
My son has had an area on his arm since May. From May to December the area doubled in size, and was in the process of trippiling. We took him to the dr. The first biopsy came back as Halo Nervosa. After looking online at pics, I decided to get a second opinion. The pics online and his arm looked nothing alike. The second biopsy came back this morning. I have been told that the area is caused by inflammation around the blood vessels. Is this the same thing as vasculitis? Is it normal for this to grow? Could it be linked to his taking Adderall? He is only 18 is it normal in people this young? What treatment options are available. We do have an appt. with the dr. on the 18th, but I would like to be somewhat informed before we go in there.
Thanks,
Stormchild
Thanks,
Stormchild
Loading...