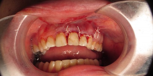
An apicoectomy was performed on tooth #11 approximately 5 months ago and I am still experiencing the exact pain existing before the procedure. I feel ill and very low energy. My endodontist checked my xray post-op and said it has healed nicely and looks fine. My ears ring and I have pain and pressure treatment site. Any suggestions?
Loading...