
Anorexia Nervosa
Anorexia nervosa is characterized by a fear of weight gain, and the unreasonable and unhealthy restriction of food most commonly associated with rapid weight loss. Patients have an unrealistic perception of their own body and may see themselves as fat even when they are severely underweight. The incidence of anorexia nervosa is one percent in females and 0.1 percent in males. It affects mostly young adult females between 15 and 20 year of age. Anorexia nervosa is actually a misnomer. Anorexia means a loss of appetite while patients diagnosed with anorexia nervosa do not have a loss of appetite but they limit their food intake excessively in fear of weight gain. They only appear to have no appetite.
- Important notification about information and brand names used in this slideshow!
- Photo courtesy of Janine by Flickr : www.flickr.com/photos/pinkcotton/3906050652/
- Oxford textbook of clinical psychiatry

Bulimia Nervosa
Bulimia Nervosa is characterized by episodes of eating large amounts of food rapidly, and then trying to rid oneself of the food consumed through vomiting, laxatives, exercise, stimulants or diuretics. This condition was first described and recorded by a British psychiatrist. There is a lack of data on the prevalence of bulimia because of the difficulty in detecting cases. Studies available thus far have produced a wide range of figures. According to the available data, females from low income families are at a higher risk of having bulimia. Individuals who love dancing, gymnastics, ballet, and athletics have a higher risk of getting bulimia as well.
- Important notification about information and brand names used in this slideshow!
- Photo courtesy of vitre0us by Flickr : www.flickr.com/photos/meggielawl/5224003806/
- Oxford textbook of clinical psychiatry

Cold Hands And Feet
Individuals with anorexia nervosa may complain that they feel very cold frequently. This is due to a loss of body fat. Fat tissue in the skin helps regulate body temperature by insulating the body against heat loss. The body can switch to an energy-conserving mode because of a long-term lack of energy. A large amount of energy is lost from the body as heat. To reduce this energy wastage, arteries in the body surface and peripheries constrict redirecting blood away from the limbs and skin. Severe anorexia nervosa may cause a drastic drop in blood pressure. Due to poor circulation in their hands and feet, patients feel cold to touch.
- Important notification about information and brand names used in this slideshow!
- Photo courtesy of chaoticandserene by Flickr : www.flickr.com/photos/51592759@N08/5290558269/
- Oxford textbook of clinical psychiatry

Brittle Nails
Nails are rapidly growing skin appendages, and a considerable amount of energy and nutrients are required for nail and hair growth due to the associated rapid cell divisions and maturation. Vitamins B, D, E, C and proteins are essential for a perfect set of nails. Eating disorder patients restrict food intake, so the daily requirements of these micronutrients and macronutrients are not met. In severe cases of anorexia nervosa and bulimia nervosa, hormonal functions may be disrupted. Reduced amounts of iodine may cause low blood levels of thyroxin (hypothyroidism). Hypothyroidism is a well-known cause of weak nails, and the associated dehydration may also contribute to a weak set of nails.
- Important notification about information and brand names used in this slideshow!
- Photo courtesy of Judy Baxter by Flickr : www.flickr.com/photos/judybaxter/591783351/
- Oxford textbook of clinical psychiatry

Skin Changes
Anorexia nervosa can result in a number of skin changes. Patients can get fungal infections on the finger webs (inter-digital intertrigo), a red and slightly elevated (popular) rash, early loss of hair and a lack of new hair growth (telogen effluivium). In addition, patients might have a bluish discoloration of the fingers, toes and sometimes face (acrocyanosis), a painful and tender nail condition called paronychia, and yellowish or orange discoloration of hand palms and soles (carotenoderma). People with anorexia may also experience itching all over the body (pruritus), suffer from acne, stretch marks on the skin (striea distensea) and have darkened skin (hyperpigmentation). Finally, you may see purplish reticular mottled skin (livedo reticularis), wounds on the corners of the patient's mouth (angular stomatitis), and there may be dermatitis around the mouth, eyes, ears, anus and limbs (acrodermatitis enteropathica).
- Important notification about information and brand names used in this slideshow!
- Photo courtesy of Sarah Reid by Flickr : www.flickr.com/photos/sarahreido/3205021393/
- Oxford textbook of clinical psychiatry

Irregular Or No Menstruation
The lack of adequate caloric intake over a long period of time associated with anorexia and other eating disorders can cause irregular menstruation. Because the menstrual cycle has cerebral cortical control, stress, emotional upheaval may also cause menstrual irregularities. Chronic malnutrition will cause disruptions of follicle maturation in the ovaries. This leads to irregularities in plasma estrogen and progesterone levels throughout the menstrual cycle. The inner lining of the womb (endometrium) which is shed during menstrual bleeding depends on estrogen and progesterone to develop properly. Impaired development of the endometrium due to hormonal imbalances or a lack of nutrition will result in abnormal menstrual cycles.
- Important notification about information and brand names used in this slideshow!
- Photo courtesy of Caitee Smith by Flickr : www.flickr.com/photos/caitees_photography/4464280512/
- Oxford textbook of clinical psychiatry

Thinning Hair
Telogen effluvium is a known association of anorexia and bulimia nervosa. This condition is characterized by poor hair growth and early loss of hair. This is due to hair follicles entering a resting stage known as the telogen phase. This is also seen in people who suffer from stress, low thyroxin levels (hypothyroidism), after major surgery and due to certain drugs. One theory suggests that the hair loss and hair thinning seen in anorexia nervosa is related to low levels of thyroxin in the plasma. Hypothyroidism may be due to lack of adequate proteins or lack of iodine in diet. Hair growth requires hair follicle cells to proliferate and mature, which is impossible if a person has chronic malnutrition and essential nutrients are lacking.
- Important notification about information and brand names used in this slideshow!
- Photo courtesy of BloodyEly by Photobucket : media.photobucket.com/user/BloodyEly/media/anorexia_nervosa_by_IwishIwasPretty.jpg.html?filters[term]=anorexia&filters[primary]=images&sort=1&o=101
- Oxford textbook of clinical psychiatry

Purging Signs
Purging may be done using various methods, but vomiting is the most common purging method. People with eating disorders usually just insert a finger into their throat to trigger the gag reflex and induce vomiting. Some use salt water. Excessive unsafe use of laxatives is another method. Laxatives may cause dehydration due to heavy water loss and can even be addictive. Bleeding from the intestines has been noted in few cases due to bowel irritation after chronic laxative use. Disturbance of normal gut flora (normal population of microorganisms) may allow the growth of opportunistic pathogens. Rigorous exercise is also a known method of purging. While exercise is healthy, the dangers are exhaustion, injury, falls and cardiac events occasionally (Binge eating gives rises to metabolic disorders such as hypercholesterolemia and diabetes).
- Important notification about information and brand names used in this slideshow!
- Photo courtesy of xfriendlythinspox by Photobucket : media.photobucket.com/user/xfriendlythinspox/media/Bulimia/mia4-1.jpg.html?filters[term]=bulimia&filters[primary]=images&sort=1&o=46
- Oxford textbook of clinical psychiatry

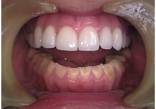
Teeth And Gums
Bad breath is a common symptom of both anorexia nervosa and bulimia nervosa. Anorexia nervosa patients have bad breath due to ketosis induced by starvation, while bulimia patients have it it due to repeated vomiting. Regular contact with gastric acids may cause tooth discoloration, destruction of tooth enamel leading to dental caries, disturbances of normal oral flora leading to frequent oral/gum infections and tooth loss. In patients with anorexia and bulimia, dental procedures carry an increased risk of infection and delayed healing. In addition there is an increase in accumulation of tartar and plaques.
- Important notification about information and brand names used in this slideshow!
- Photo courtesy of DentalSchoolProf by Wikimedia Commons : commons.wikimedia.org/wiki/File:Oral_manifestation_of_Bulimia..jpg
- Oxford textbook of clinical psychiatry

Psychiatric Disorders
Depression is the most commonly encountered psychiatric condition in both anorexia nervosa and bulimia nervosa. A low mood, lack of energy, and no longer enjoying activities that were previously pleasurable are the three cardinal features of depression. Sleeping difficulties, early waking, interrupted sleep, thoughts of worthlessness, guilt, defeat, loss of appetite, and lack of focus and concentration may be detectable. Psychotic features such as hallucinations and delusions may occur in cases of severe anorexia nervosa and bulimia nervosa. Many patients complain of various somatic symptoms such as aches and pains. Depression is treatable with medication but when associated with other conditions the treatment only gives temporary relief as a root cause is intact.
- Important notification about information and brand names used in this slideshow!
- Photo courtesy of Ulisse Albiati by Flickr : www.flickr.com/photos/cyberuly/5029570105/
- Oxford textbook of clinical psychiatry
Your thoughts on this
Loading...