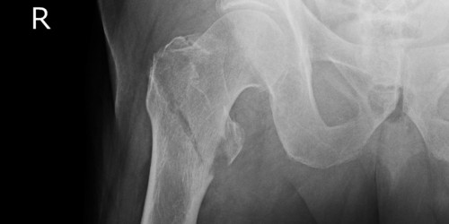
I have a haematoma in hip for 4 months and a numbness to leg and foot a m.r.i scan has revealed that it is pinching on a nerve and I am getting fed up with doctors saying it will take time may be another 6 months icant even walk and in constant pain and I would be so glad to hear if anyone has had it removed and how long did it take to recover also was it sore to get it done
Loading...