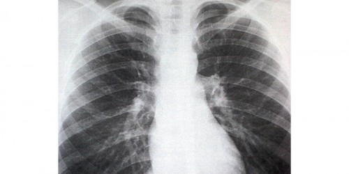
Back Ribs . Is this kind of beginning of emphysema Or is a cause of rib fracture internal bleeding. I am feeling better by every passing hour other wise with very mild or no pain conditions, but yet feel some rattling in my chest like cluck but with BASS and no treble . I am 63 but healthy . Should I go and see a lungs doctor Or a medical specialist Or orthopedist Or should pay the money in charity and enjoy the Medical Leave
Loading...