Couldn't find what you looking for?

TRY OUR SEARCH!


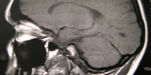
My friend has been suffering from brain tumor, called schwannomas. It is some kind nerve tumor. He is going to have surgery. He already lost hearing. I am very worried about him. He has not being well for a long time. I am not sure how I can help him. I don’t understand this condition. I would like to get some detail explanation about what the schwannomas is. Please, is there anyone who can tell me?

Loading...


I am sorry about your friend. I can give you some information about Schwannomas. I thought that is only congenital condition, but recently I read that anyone can develop these tumors. Schwannomas tumors come from the cells that form a protective sheath around the body's nerve fibers. They usually appear as a single tumor, benign and surgically removed when is possible. They rarely multiply. Hearing loss is a common symptom, because one of the more common forms of this tumor affects the eighth cranial nerve, which contains nerve cells important for balance and hearing.
Reply

Loading...