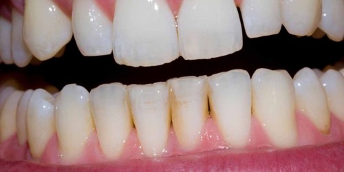
I have wore a parcel on. Y bottom for 13 years now. Long sorry but lst 5 baby teeth at 24 and one by one they all feel out with no teeth under. I am use to the parcel just hate it. Anyway. had to go under a get my gums cleaned a few years back. Now they are puffy bright pink and white spots in a few place. The lest side has lots of pian every time in wear my parcel. Should I worry. Will the spots and pain go away.
Loading...